
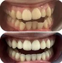
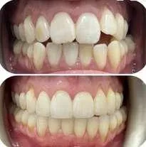
Straight Teeth in 4+ months, without you having to restrict yourself to what you eat.
Free 3D Smile Simulation, Whitening and Retainers with Invisalign.
Affordable Payment Plans with flexible payment options and 0% financing options!




We will take a digital scan, assess your alignment, and create a treatment plan to create your bespoke smile.
We will walk you through your 3D smile simulation treatment plan for your approval.
In your first appointment, we will apply your Invisalign attachments and fit your aligners.